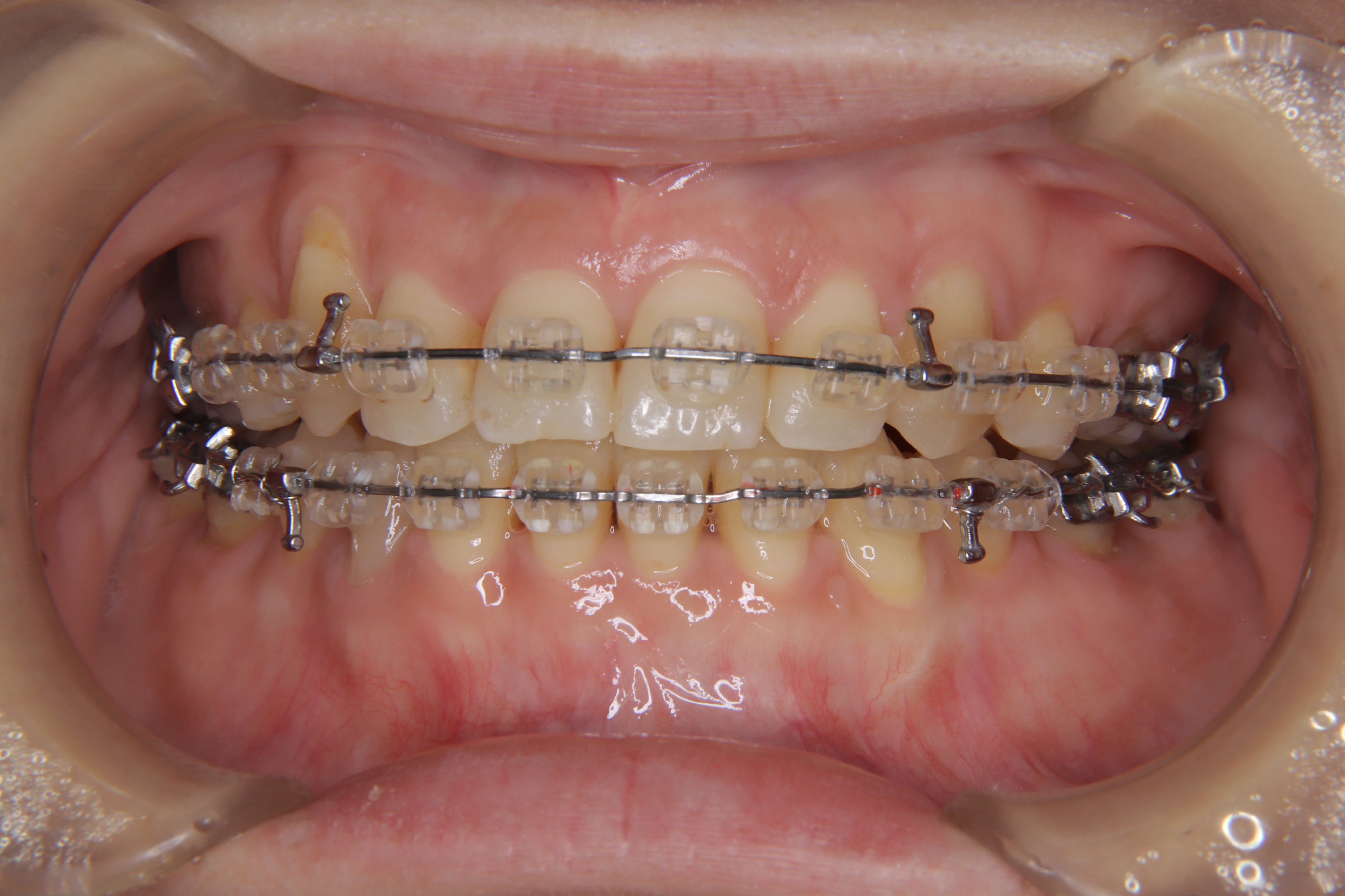
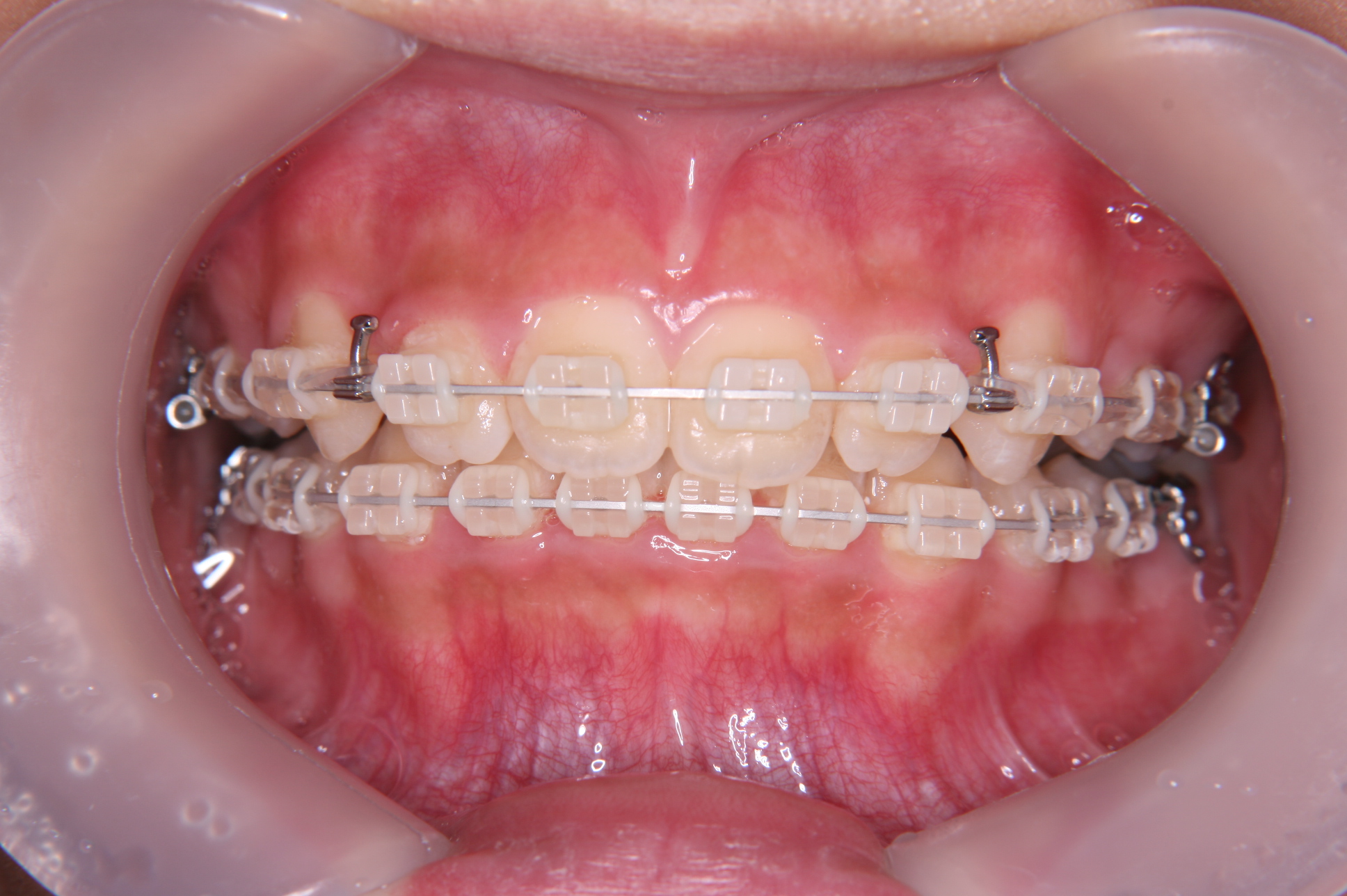
矯正装置

 

矯正治療のリスクと限界

痛みについて

矯正装置をはじめてつけたり、装置を調整してから1週間程度痛みがでることがあります。付けたり調整してすぐに痛くなるのではなく徐々にいたみがでてき通常1から2日目にピークをむかえます。ほっておいても痛みは自然になくなります。

 

虫歯について

矯正治療中の歯磨きはとても重要です。装置がついたまま歯磨きをすることになるので、つける前に比べ何倍も虫歯になりやすくなります。ブラッシング指導などしますが、ご自宅での毎日のケアが重要になります。また、当医院では矯正装置をとりつける前に歯面を薄いコーティング層で覆っています。虫歯予防に効果的な方法ですが歯磨きは普通以上に気をつける必要はあります。

 

歯根吸収について

矯正治療中に平均0.5mm程度歯根吸収(歯の根っこの尖端がなくなること)が起こるといわれています。特に強すぎる力は吸収が大きくなる可能性があります。

 

歯肉退縮について

加齢や誤った歯磨きの仕方によって、矯正治療しない場合にも現れます。矯正治療中に平均0.5mm程度歯肉退縮するといわれています。歯周病の進んだ状態で歯を動かすと急速に歯肉退縮が進んでしまいます。歯周病の症状がある場合、矯正治療の前にきちんと直しておくことが必要です。

 

後戻りについて

ワイヤーを使った矯正治療のあと保定装置を使いますが、その大きな理由は歯周囲の骨や軟組織が歯が動いた新しい場所で再構築されるよう固定することです。保定装置をしっかり使うと後戻りしずらくなりますが、必ずしも歯が動かなくなる訳ではありません。唇、頬、舌の圧力、歯の周囲の繊維などの影響で歯が元あった方向に動いたり新たな方向に動いたりすることがあります。