
関根矯正歯科クリニックの5つのコンセプト
| 1.安心な治療 | ○本医院では、日本矯正歯科学会の認定医・指導医の資格を持つドクターが治療にあたります。治療計画の立案はもちろん、治療開始から完了まで同じドクターが責任を持って、治療にあたります。 |
|---|---|
| 2.丁寧な説明 | ○治療の進行状況を確認することは、良好な治療結果をえるために不可欠です。本医院では、治療の進行状況を毎回確認し、この結果を患者さんにわかりやすく丁寧に説明します。 |
| 3.向上 | ○学会や講習会の積極的な参加、日々の治療を常に再確認することにより、さらなる治療の質の向上、診断能力の向上を目指しています。 |
| 4.クリーン | ○本医院では安心して治療を受けていただけるよう、治療器具の滅菌消毒を徹底しています。また、手袋はラテックスアレルギーに配慮したものを使い捨てにしています。 |
| 5.虫歯予防 | ○矯正装置を取り付けると、つける前に比べ何倍も虫歯になりやすくなります。当医院では虫歯予防にちからを入れています。 |
治療の流れ,費用について
-
○相談(初回来院時)2,000円(税込み)
現在の症状、治療に対してのご希望などをお伺いします。お口の状態をチェックして、患者さん一人一人にあった治療の概略(治療費、治療期間、使用装置など)を説明します。歯並びや口元に関するお悩みや治療に関する疑問などあれば、お気軽にお尋ねください。もちろん、治療するかしないかはすぐ決める必要はありません。良く考えてからお決めください。 - 相談は予約制です。初めての方は、電話にて相談の予約をお取りください。
-
○精密検査料(2回目来院時)40,000円(税込み)
治療計画の立案に必要な検査(歯,頭部のレントゲン撮影、歯型の模型作製、歯や顔の写真,あごの動きの検査、かみ合わせチェックなど)をします。 -
○治療計画の立案、診断料(3回目来院時)10,000円(税込み)
検査結果をもとに、歯並びにどのような問題点があり、どのような治療が必要なのかを説明します。 -
○治療、矯正施術料(4回目~)
診断の結果をもとに、実際に歯を動かす治療です。 - ◇永久歯がすべて萌出してからの治療(中学年くらいから成人まで)680,000円から720,000円(税込み)
- 基本的に月一回の来院が必要で、治療期間は、およそ2年です(治療期間は、歯並びや顎の骨の状態により個人差があります)。
- ◇乳歯が残っている時期からの治療
- 第一期治療 110,000円から254,000円(税込み)
- 使用する装置、かみ合わせの状況によりことなります。およそ半年から一年です。
- 第二期治療 510,000円から550,000円(税込み)
- 第一期治療終了後すべての歯が永久歯に交換してから、仕上げの治療をする場合にかかる費用となります。
- ○矯正処置料3,000円から5,000円(税込み)
- 矯正装置装着後の来院時、装置の調整を行った際、保定時にお支払いいただきます。(装置の故障などの場合を除いて、原則として来院毎にお支払いいただきます)
- ○保定
- 治療が終わると歯並びはきれいになりますが、良い歯並びを維持するため定期的なチェックが必要になります。通常、取り外しのできる装置がはいります。3ヶ月から4ヶ月に1度の来院で、およそ2年間です。矯正処置料(3,000円から5,000円)がかかります。
-
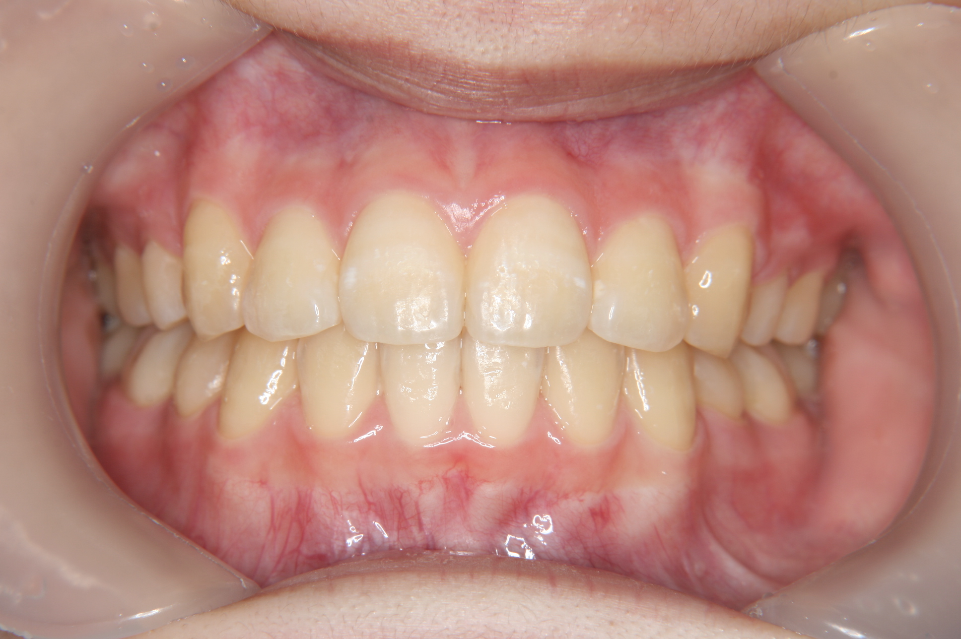
矯正治療前(叢生)
初診時、14歳3ヶ月です。歯並びがデコボコです。
-
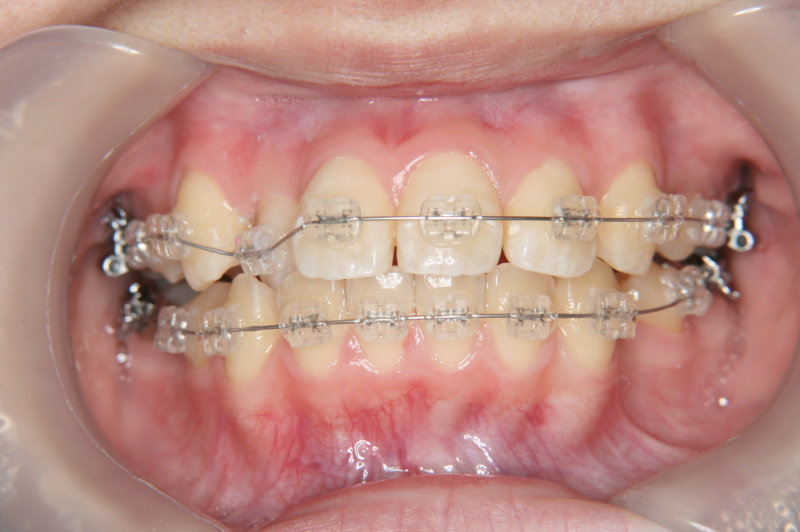
治療開始3ヶ月
4本の永久歯を抜歯し治療開始。少しデコボコがとれてきました。
-
治療開始4ヶ月
右上のデコボコを改善しています。
-
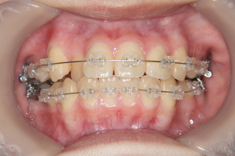
治療開始8ヶ月
デコボコは改善していますが、しっかり咬み合っていません。
-
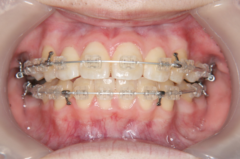
治療開始15ヶ月
しっかり咬み合うよう調整しています。
-
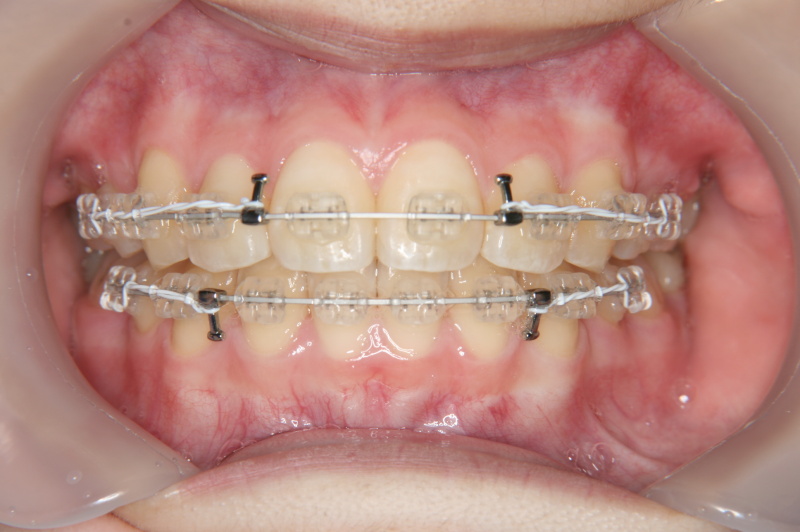
治療治療、終了
治療開始19ヶ月。装置がはずれました。この後、保定という治療が必要です。
-






